If you’ve ever felt a sharp sensitivity when drinking something cold, noticed your teeth looking slightly yellow, or felt rough edges where your teeth used to feel smooth—there’s a good chance tooth enamel erosion is involved.
Enamel erosion is far more common than people realise. The tricky part? It often happens quietly. No pain at first. No obvious warning signs. Until one day, your teeth start reacting to everyday food and drinks.
In this blog, let’s break it down simply:
- What enamel erosion actually is
- Why tooth enamel matters so much
- How erosion affects your teeth over time
- The difference between teeth with enamel and teeth without enamel
- How enamel erosion treatment works
- And how an enamel dental clinic can help protect your teeth long-term
What Is Tooth Enamel?
To understand enamel erosion, we first need to understand tooth enamel.
Tooth enamel is the outermost protective layer of your teeth. It’s the hardest substance in the human body—stronger than bone. Its main job is to protect the inner parts of the tooth from damage caused by chewing, biting, temperature changes, and acids.
Every healthy tooth you see in the mirror is covered with enamel.
What Tooth Enamel Does for You
- Protects teeth from daily wear and tear
- Shields the sensitive inner layers (dentin and pulp)
- Helps you chew without pain
- Maintains the natural white appearance of teeth
One important thing to know: tooth enamel does not regenerate. Once it’s gone, it’s gone for good. That’s why enamel erosion needs attention early.
What Is Enamel Erosion?
Enamel erosion happens when acids gradually wear away the protective enamel layer of the teeth. Unlike cavities, which are caused by bacteria, enamel erosion is mainly caused by acid exposure.
These acids can come from:
- Foods and drinks
- Stomach acid
- Certain medications
- Lifestyle habits
Over time, repeated acid attacks weaken enamel, making teeth thinner, more sensitive, and more vulnerable to damage.
Common Causes of Tooth Enamel Erosion
Enamel erosion doesn’t happen overnight. It’s usually the result of everyday habits that don’t seem harmful at first.
Acidic Foods and Drinks
- Soft drinks and sodas
- Citrus fruits and juices
- Energy drinks
- Sports drinks
- Vinegar-based foods
Frequent exposure matters more than quantity. Sipping acidic drinks throughout the day is worse than having them occasionally.
Acid Reflux and Digestive Issues
Conditions like acid reflux or GERD can cause stomach acid to reach the mouth regularly. This acid is strong enough to erode tooth enamel over time.
Frequent Snacking
Constant snacking keeps acid levels high in the mouth, giving enamel little time to recover.
Aggressive Brushing
Brushing too hard or using a hard-bristled toothbrush—especially right after consuming acidic food—can speed up enamel erosion.
Dry Mouth
Saliva plays a big role in neutralising acids. Reduced saliva flow increases the risk of tooth enamel erosion.
Teeth With Enamel vs Teeth Without Enamel

This comparison makes enamel erosion very easy to understand.
Teeth With Enamel
- Smooth, glossy surface
- Less sensitivity
- Natural white appearance
- Strong resistance to decay
- Comfortable chewing
Teeth Without Enamel (or Severely Eroded Enamel)
- Yellow or dull appearance (dentin shows through)
- High sensitivity to hot, cold, and sweet foods
- Rough or uneven edges
- Increased risk of cavities and fractures
- Discomfort while eating
Once enamel wears away, the inner dentin layer is exposed—and dentin is much softer and more sensitive.
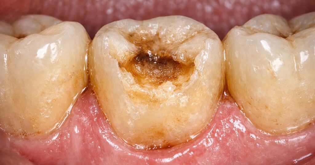
Early Signs of Enamel Erosion You Shouldn’t Ignore

One of the biggest mistakes people make is waiting for pain. Enamel erosion often shows subtle signs first.
Watch out for:
- Sensitivity to cold drinks
- Teeth looking slightly yellow
- Rounded or transparent tooth edges
- Rough tooth surfaces
- Increased reaction to sweet foods
Catching enamel erosion early makes treatment simpler and less expensive.
How Enamel Erosion Affects Teeth Over Time
If enamel erosion is ignored, it doesn’t stop on its own.
Stage 1: Enamel Weakening
The enamel begins to thin. Teeth may feel sensitive occasionally.
Stage 2: Dentin Exposure
As enamel wears away, the dentin layer becomes exposed, increasing sensitivity and discoloration.
Stage 3: Structural Damage
Teeth become prone to chips, cracks, and cavities.
Stage 4: Severe Tooth Damage
In advanced cases, patients may require extensive tooth erosion treatment, including crowns or root canal procedures.
Can Tooth Enamel Be Restored?
This is a very common question.
The honest answer: Natural tooth enamel cannot grow back.
However, modern dentistry focuses on:
- Strengthening remaining enamel
- Preventing further erosion
- Restoring damaged teeth using protective treatments
This is where professional care becomes important.
How Enamel Erosion Treatment Works
Enamel erosion treatment depends on how advanced the damage is.
For Early Enamel Erosion
- Remineralising treatments
- Fluoride applications
- Dietary and lifestyle changes
- Desensitising toothpaste
These help strengthen existing enamel and reduce sensitivity.
For Moderate Enamel Erosion
- Dental bonding
- Composite restorations
- Protective coatings
These restore shape, appearance, and function.
For Severe Tooth Erosion
- Dental crowns
- Veneers
- Advanced restorative treatments
This level of tooth erosion treatment focuses on long-term protection and comfort.
How an Enamel Dental Clinic Helps Protect Teeth

An enamel dental clinic doesn’t just treat damage—it focuses on prevention and long-term enamel health.
At an enamel-focused clinic, dentists:
- Identify early enamel erosion
- Analyse dietary and lifestyle causes
- Provide personalised enamel protection plans
- Offer professional fluoride and remineralisation treatments
- Restore damaged enamel safely
This preventive approach is especially helpful for patients with recurring sensitivity or acid-related dental issues.
Enamel Dental Clinic in Chennai – Why Location Matters
If you’re looking for an enamel dental clinic in Chennai, access to modern diagnostics and preventive dentistry makes a real difference.
In areas like Chennai, specialised dental clinics often offer:
- Digital enamel assessment
- Painless enamel erosion treatment
- Cosmetic restorations for eroded teeth
- Long-term monitoring of tooth enamel health
Early diagnosis can prevent the need for complex procedures later.
How to Save Tooth Enamel in Daily Life
Small changes can go a long way in protecting your teeth.
Simple Enamel-Saving Habits
- Rinse your mouth with water after acidic foods
- Wait at least 30 minutes before brushing
- Use a soft-bristled toothbrush
- Choose enamel-friendly toothpaste
- Limit frequent snacking
- Drink acidic beverages through a straw
These habits protect teeth with enamel and slow down erosion.
When Should You See a Dentist for Enamel Erosion?
You should consult a dentist if:
- Sensitivity is increasing
- Teeth look more yellow than before
- Edges of teeth feel thinner or rough
- You experience pain while eating
An early visit to an enamel dental clinic can save your teeth from permanent damage.
Final Thoughts
Enamel erosion may seem minor at first, but it has long-term effects on both dental health and comfort. Understanding what enamel erosion is—and how it affects teeth—helps you take action before the damage becomes irreversible.
Protecting tooth enamel is not about perfection. It’s about awareness, early care, and choosing the right treatment when needed.
If you’re experiencing signs of enamel erosion, consulting an experienced enamel dental clinic can help preserve your smile for years to come.